Dr Chethan has performed successfully Total Knee Replacement using Stryker Triathlon System
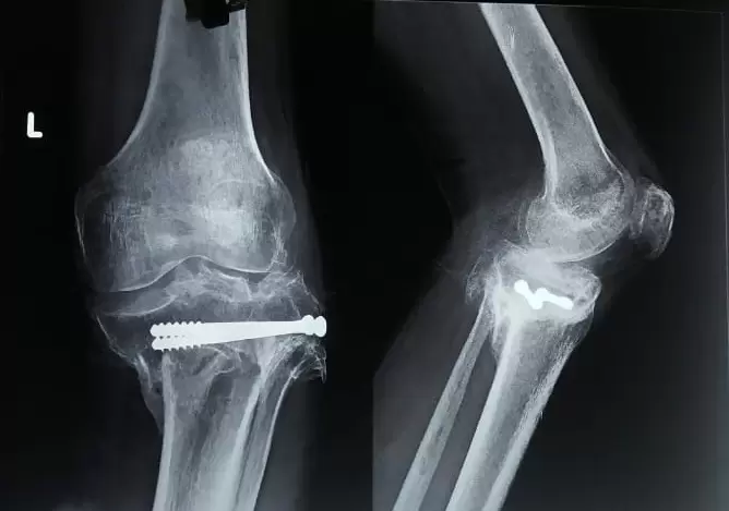
A 47-year-old patient had sustained a fracture of his leg bone (tibia) 10 years ago which was treated elsewhere with surgery.
Although his fracture had healed, it had healed in a wrong position causing him pain and difficulty in walking.
Over the last 1 year, his pain was increasingly severe and had compromised his activities of daily living.
He had consulted multiple doctors and had undergone multiple physiotherapy sessions and Medications for months together, but still in pain.
We examined him and found that the knee joint was severely arthritic.
We offered him Total knee replacement as the only solution in such advanced cases of arthritis.
However, the challenges were, deformed leg bone (tibia) owing to the previous fracture, young age of 47 years, ligament imbalance owing to the long duration of deformity, and financial constraints of the patient.
We performed a Total knee replacement (TKR) on him using the Stryker Triathlon system, which is a very advanced and versatile knee replacement device that provides a very high degree of knee bending.
We were able to mobilize the patient on the same day and make him walk the next day and he went home on the 4th day.
With good post-operative physiotherapy and exercises, he is now completely pain-free, has resumed his work as a Tailor, and is extremely grateful to the surgical team and the hospital.
He says we have given him his life back after 10 years of suffering through pain and movement restrictions.
He is now walking normally and says that he had spent more money on treatment during these 10 years than what he spent on the surgery.
During these COVID pandemic times also our work has continued unabated and we are proud to say
that none of our surgical patients have been affected with COVID disease.
Total knee replacement surgery is an advanced and highly sophisticated surgery.
TKR is not just about putting in an artificial joint made of metal and polyethylene, it involves getting the alignment perfect, balancing the ligaments and soft tissues, so that the knee joint moves freely, and ensuring that the tissues and wound heal without any further complications.
In order to achieve these parameters, it needs extreme precision, highly trained surgical skills, well-equipped operation theaters, and guided physiotherapy.
If any of these parameters are compromised, the patient outcomes may be compromised.
At Sagar hospital, Jayanagar under the guidance of Dr. Chethan Nagaraj, we have successfully treated many such patients with advanced stages of arthritis, from Bangalore, the rest of Karnataka, and neighboring states like Andhra Pradesh and Tamilnadu, and helped the patients get back to their normal life.
Using advanced techniques like minimally invasive TKR, Computer navigation, and accelerated rehab, we have provided a success rate of above 95% in many complex knee disorders.
